Пародонтит

По распространенности пародонтит занимает второе место после кариеса, но для пациента он предоставляет не менее серьезную угрозу, чем кариозное поражение зубов.
Что такое пародонтит
Пародонтит ─ воспаление окружающих зуб тканей, разрушающее опорный аппарат зуба. Термин «пародонтит зубов» неточен, поскольку ткани зуба воспаление не затрагивает, но степени угрозы это не умаляет: по мере разрушения связок зуб расшатывается настолько, что его можно вынуть из десны пальцами. Самопроизвольное выпадение зубов наблюдается и при пародонтозе ─ дистрофии околозубных тканей. В связи с этим пародонтит и пародонтоз иногда ошибочно отождествляют. На самом деле более схожи между собой гингивит и пародонтит, которые, по сути, являются разными стадиями поражения пародонта.
Причины развития пародонтита
Выделяют три основные причины пародонтита. Во-первых, это бактерии, содержащиеся в зубных отложениях - зубном налете и зубном камне. Вторая причина, вызывающая парадонтит - аллергия на медикаменты.В-третьих, тяжелый пародонтит развивается на фоне травмирования десен плохо подогнанными коронками или пломбами. Усугубляют его течение ослабленный иммунитет, нарушение обмена веществ, патологии прикуса, употребление в пищу мягких продуктов и т.п. К сожалению, на легкую степень пародонтита пациенты часто не обращают внимания, поэтому заболевание прогрессирует, что делает прогноз лечения менее благоприятным.
Симптомы пародонтита
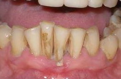
Начальные симптомы пародонтита проявляются зудом в деснах, болезненностью при надавливании и жевании, кровоточивостью, неприятным запахом изо рта. Без лечения симптомы усугубляются - развивается хронический генерализованный пародонтит, характеризующийся сильной болью при жевании, расшатыванием и смещением зубов. Кровоточащие десны и шатающиеся зубы препятствуют гигиене полости рта, из-за этого пародонтальные карманы увеличиваются, обнажая корни зубов - это уже пародонтит тяжелой степени, лечение которого невозможно без хирургического вмешательства. Тяжелым течением характеризуется пародонтит у детей: это обусловлено незрелостью околозубных тканей, что делает их уязвимыми к поражениям и затрудняет процессы регенерации.
Диагностика пародонтита
На начальной стадии заболевания диагностика пародонтита выполняется посредством специального инструмента, измеряющего зазор между зубом и десной. Данный метод особенно важен, если жалобы пациента дают основание заподозрить у него локализованный пародонтит. Картина генерализованного поражения более выразительна и чаще всего не вызывает сомнений при постановке диагноза. Пациенту с подозрением на хронический пародонтит желательно проведение рентгенологических исследований для оценки состояния костной ткани челюсти.
Классификация пародонтита
Классификация пародонтита чаще всего проводится по таким критериям:
• Течение заболевания, в соответствии с чем выделяют пародонтит острый, хронический в стадии обострения, хронический в стадии ремиссии и пародонтит с абсцедированием.
• Область распространения ─ пародонтит может быть локализованным на отдельных участках челюстей, либо генерализованным, то есть захватывающим челюсти полностью.
• Степень тяжести ─ она может быть легкой (если глубина пародонтальных карманов не превышает 3,5 мм), средней (глубина карманов от 4,5 до 5 мм) или тяжелой, при которой карманы увеличиваются до 6 мм и более.
![]() |
пародонтит легкой степени тяжести; глубина пародонтальных карманов не превышает 3,5 мм. |
![]() |
пародонтит средней степени тяжести; глубина пародонтальных карманов не превышает 5 мм. |
![]() |
пародонтит тяжелой степени тяжести; глубина пародонтальных карманов 6 и более мм. |
Как лечат пародонтит
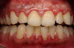
Современные стоматологи знают как лечить пародонтит не только на начальных, но и на поздних его стадиях. В первую очередь лечение пародонтитов состоит в устранении зубных отложений путем профессиональной чистки зубов. Применять народные средства при пародонтите целесообразно для устранения воспаления в деснах, при более тяжелом течении показаны антибиотики. Для удаления глубоких отложений зубного камня проводится кюретаж, в том числе с откидыванием лоскута, после чего пародонтальные карманы ушиваются. Помимо этого лечение парадонтита включает общеукрепляющие мероприятия, в частности прием иммунокорректоров. Для снижения подвижности зубов показано шинирование.
Профилактика пародонтита
Лучшая профилактика пародонтита – регулярное посещение стоматолога для своевременного лечения кариозных зубов, удаления зубного камня, подгонки протезов и пломб. Помимо этого необходимо включение в рацион твердых продуктов, использование для чистки зубов специальных паст, замедляющих образование зубного камня и т.п.