Нейлоновые съемные зубные протезы - недостатки и достоинства


Нейлон - это разновидность пластика из которого развитие технологий позволило изготавливать нейлоновые съемные зубные протезы.
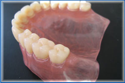
Нейлоновые зубные протезы - это съемные гибкие, эластичные протезы иногда их называют "мягкими" протезами. В последнее время получили широкое распространение, раньше применялись только как временные протезы. Нейлоновый протез по своим физическим свойствам можно сравнить с жесткой капроновой крышкой.
Фиксация частичного нейлонового протеза осуществляется с помощью таких же мягких гибких кламеров (пилотов) что и базис протеза. У данного вида съемных протезов, есть свои достоинства и недостатки:
Недостатки:
1.Сложность в уходе за протезом чистки протеза жесткой щеткой с пастой на нем образуются царапины, он становиться шероховатым, и проницаемый для пигментов. Поэтому для чистки этих протезов необходимо использовать специально для них разработанные средства гигиены.
2.Невозможность проведения починки.
3.Плохая полируемость.
4.Повышенная эластичность и гибкость протеза приводит к ускоренной атрофии костной ткани и "натертости" слизистой оболочки.
5.Дороговизна

Достоинства.
1.Зубы на которые идет опора кламеров не требует покрытия коронками;
2.Отсутствует мономер поэтому в отличие от акриловых протезов не вызывает аллергические реакция.
3.Гибкий, эластичный удобный при ношении пациент быстро адаптируется (привыкает) к протезу.
4.Фиксирующие элементы пластмассовые кламера - выполнены под цвет десны и не видны при улыбке.
5.Не меняет цвет и форму в процессе носки;
6.Благодаря точности изготовления надежно фиксируется и требует минимального количества коррекции.
7.Нейлоновый протез практически невозможно сломать.