Керамические виниры - преображение вашей улыбки

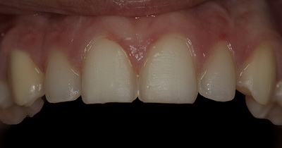
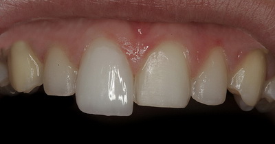
Реставрации зубов керамическими винирами: до и после | |
![]() |
![]() |
до | после |
Что такое виниры?
Во всём мире миллионы людей страдают от внешнего вида своих зубов. Кого-то мучает желтизна зубов, кого-то их неправильная форма или различные недостатки, заметные всем. Что и говорить, многие из нас сталкивались с такими неприятностями. Человек с проблемными зубами стесняется улыбаться, вести себя естественно. Для решения этих проблем и были придуманы зубные виниры. Принято считать, что зубные виниры придумали американские специалисты, по просьбе звезд Голливуда. Так что же это такое, зубные виниры?
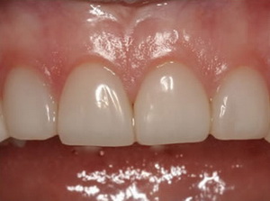
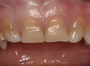
![]() |
![]() |
Иллюстрация. Реставрации зубов керамическими винирами |
Зубные виниры – это нанесенное на поверхность зубов особое тонкое покрытие специальными современными керамическими или композитными материалами. Виниры на зубах – один из самых быстрых, эффективных и надежных методов сделать зубы по-настоящему красивыми. По мнению большинства стоматологов, использование виниров является лучшим способом сделать зубы ослепительно белыми и придать им правильную форму. Реставрация зубов этим специальным покрытием помогает людям исправить эстетические недостатки зубов и получить поистине лучезарную улыбку.
Виды виниров
Виниры бывают прямого метода изготовления – клинические виниры из композита, и непрямого метода изготовления (лабораторный метод изготовления).
При прямом методе изготовления процесс изменения внешнего вида зубов производится непосредственно в полости рта пациента при помощи нанесения в несколько слоев гелиокомпозита (композитные виниры). Клинические виниры (прямые композитные виниры) считаются неплохим способом реставрации зубов, однако композит не может длительное время находится в стабильном состоянии, и в итоге уже через 5 лет требуется коррекция реставрации.
Зубы до (before) и после (after) реставрации зубов кеармическими винирами
Лабораторный метод изготовления – метод, при котором реставрационные работы проводятся в зуботехнической лаборатории, а затем готовые виниры фиксируются в полости рта. Сюда относятся следующие виды: керамические (фарфоровые) виниры, керамерные виниры, голливудские виниры, а также люминиры.
Люминиры (виниры без обточки) – особенный вид виниров. Это одно из последних недавних разработок специалистов в области реставрирования зубов. Великолепный способ сделать красивыми свои зубы без их обточки. Толщина люминиров всего около 0,3 миллиметра.
Преимущества керамических виниров
Преимущества керамических виниров перед другими методами (пломбами и зубными коронками) реставрации зубов очевидны.
Самым важным преимуществом керамических виниров перед другими методами реставрации зубов является то, что не нужно удалять нерв. Керамические виниры послужат на совесть много лет. Керамические виниры изготовлены из экологически чистого материала, они не содержат вредных веществ и не причинят вреда здоровью.
Изготовление керамических виниров
Вначале снимается небольшой слой зубной эмали, толщиной примерно 0,4-0,6 миллиметров. Под виниры обрабатывается наружная (щечная) поверхность зубов. Затем с отпрапеарированных зубов снимается слепок высокоточной синтетической слепочной массой, точно воспроизводящей малейшие нюансы обработанной поверхности зубов.
Затем слепок отправляется в зуботехническую лабораторию, где по слепку изготавливается точная гипсовая копия (модель) зубных рядов. Непосредственно на гипсовой модели зубной техник моделирует и воспроизводит виниры из керамической массы.
Опытные стоматологи, работающие над эстетикой зубов, прежде чем приступить к обтачиванию зубов, проводят демонстрацию пациенту его будущих виниров. При этом, на зубы прикладывается пластиковая имитация будущих виниров. После согласования с пациентом их внешнего вида и формы, врач приступает к препаровке зубов.
Этапы изготовления керамических виниров
Исходная ситуация
Зубы после обточки под виниры
Примерка виниров на зубы
Керамические виниры на модели
Керамические виниры на модели. Вид на внутреннюю поверхность
Готовые керамические виниры, зафиксированные на зубах
Как устанавливают керамические виниры
Чтобы поставить виниры специалисты стоматологических клиник проводят следующие действия. Стоматологи получают из лаборатории керамические виниры, после чего происходит их примерка пациентом. Если виниры не подходят или создают дискомфорт пациенту, они отправляются на доработку.
Так устанавливают керамические виниры
Там их шлифуют, обтачивают и снова происходит примерка. Если все в порядке и пациент чувствует себя комфортно, то керамические виниры крепятся к зубу. Необходимо помнить, что после установки керамических виниров, их передвижение или смещение практически невозможно, поэтому необходимо максимально точно рассчитать все параметры при изготовлении виниров.
Иллюстрация. Установка керамических виниров
Сколько прослужат керамические виниры
Средний срок службы керамических виниров составляет восемь-десять лет. Кстати отзывы пациентов, касающиеся долговечности керамических виниров, подтверждают это утверждение. Но при выполнении пациентами необходимых рекомендаций стоматологов, виниры могут послужить Вам и гораздо дольше.
Многие задаются вопросом, а какова же цена красивой и белоснежной улыбки, которая появляется благодаря керамическим винирам?
Средняя стоимость керамических виниров колеблется от 13.500 до 20 тысяч рублей.
Что касается люминиров, то они относятся к самым дорогим винирам. Их стоимость может колебаться от 25 до 35 тысяч рублей.
Хочется отметить, что благодаря созданию зубных виниров многие люди, страдающие от проблем с зубами, поистине стали счастливыми, избавившись, раз и навсегда от своих «зубных» комплексов и обретя не только ослепительную улыбку и здоровые зубы, но и уверенность в себе.