Адгезивные мостовидные протезы

Отсутствие зуба или нескольких зубов приводит к потере целостности зубного ряда и равномерности распределения жевательной нагрузки. В результате некоторые зубы вынуждены работать в условиях постоянной перегрузки, что может привести к проявлению трещин в эмали и образованию клиновидных дефектов. Возникают зубоальвеолярные деформации: зубы, ограничивающие дефект, начинают наклоняться друг к другу, а зубы на противоположной челюсти (над или под дефектом), смещаются в сторону отсутствующего зуба. Фронтальные зубы, кроме функции откусывания и речеобразования, играют важную роль в формировании эстетики лица и всегда хорошо видны при улыбке и разговоре.
При протезировании зубов главные задачи, которые преследует стоматолог:
- Восстановление целостности зубного ряда;
- Возвращение равномерности распределения функциональных нагрузок;
- Воссоздание потерянной эстетической привлекательности улыбки.
Дефекты зубного ряда в результате потери одного, двух или более зубов подряд могут быть восполнены консервативным путем - изготовлением мостовидной конструкции или хирургическим путем - имплантацией. Однако есть альтернативный метод - адгезивные мостовидные протезы из композита, которые создаются прямо в полости рта пациента несъемными конструкциями за один визит к стоматологу.
Преимущества данного метода протезирования зубов:
- Малая инвазия (обработка) опорных зубов;
- Не проводится циркулярное препарирование, как под металлокерамические коронки;
- Не проводится девитализация зубов (удаление нерва);
- Выполняется за одно посещение;
- Хороший эстетический результат (естественное светопреломление);
- Легко провести корректировку (при появлении сколов), не переделывая всей конструкции;
- Сохраняется микроподвижность опорных зубов, не перегружая пародонт, благодаря тому, что между всеми элементами конструкции химическое соединение,а композит имеет способность к эластическим деформациям, подобно естественным зубам;
- Благодаря промежуточной части давящего контактного типа - конструкция имеет 3 опоры - две на опорных зубах и одну на альвеолярном отростке, тем самым предупреждая атрофию костной ткани в области промежуточного зуба;
- Отсутствие ретенционных пунктов для налета - хорошее самоочищение и удобный уход, нежели вокруг металлокерамических коронок и имплантов;
- Такие протезы легко удаляются при необходимости;
- Отсутствие металла в ротовой полости;
- Сравнительно низкая стоимость протеза.
Если Вам необходимо протезирование зубов, если Вы хотите установить адгезивные мостовидные протезы, позвоните нам по телефонам, указанным на сайте и запишитесь на прием к опытному стоматологу.
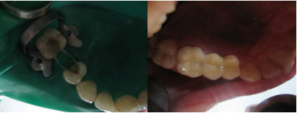
Техника изготовления.
В опорных зубах формируются полости под балку, со стороны отсутствующего зуба на незначительную глубину:
- Прокладывается балка и укрепляется композитом в опорных зубах (В настоящее время в качестве балок применяют стекловолоконные системы "Сплинт-ит" , "Дентапрег")
- Моделируется отсутствующий зуб с помощью современных фотополимерных композиционных материалов.
Недостатки метода:
- Повышенное истирание при наличие керамических конструкций на антогонистах.
- Возможны сколы материала;
- Возможно изменение цвета;
- Протяженность дефекта более одного зуба;
Техника изготовления адгезивного мостовидного протеза является методом выбора при одномоментном устранение незначительных дефектов зубных рядов.
Такой протез можно использовать при условии тщательного учета показаний и полном соблюдении технологий все этапов работы.